Bitten But Not Swallowed
By Wayne Flann
After 35 years of playing and working in avalanche terrain, you can imagine that I’ve had a fair bit of experience dealing with avalanches.
Prior to December 29, 2014, I had only had one personal close call: I’d once been partially buried in an avalanche. I have successfully ski cut hundreds of size 2 avalanches, and I’ve gone for a few inconsequential rides in size 1 and size 2 skier accidentals. I’ve even skied off a couple of size 3 avalanches after deploying explosives, then ski cutting the slope with unexpected results. I credit a combination of luck and acquired skill for keeping me safe for many years.
That all changed on December 29, 2014. I was helping an old acquaintance, who was working with a Russian snowboard magazine, showing the eight person crew some of the local terrain. We were using an A Star [helicopter] to access some terrain in the Pemberton Valley. The afternoon had been going well: I had already ski cut several small stiff wind slabs, and we were enjoying some fairly nice turns. The group consisted of advanced riders, and the idea was to expand into some steeper terrain.
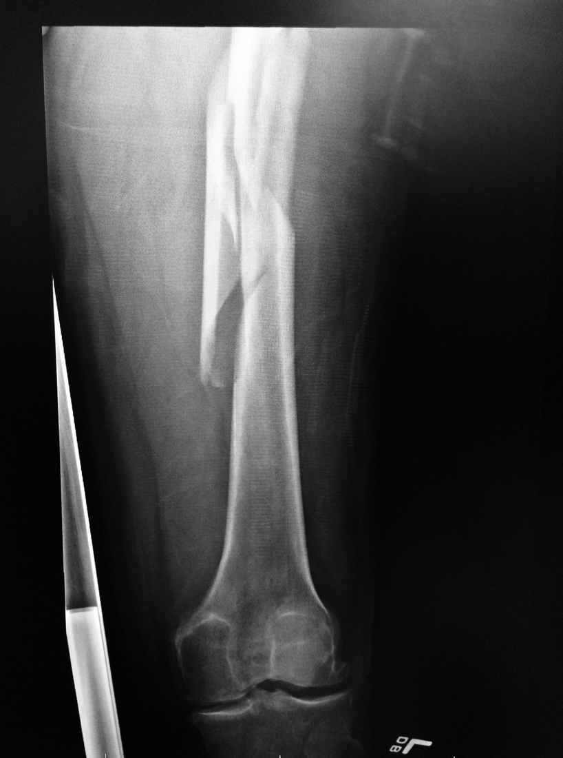
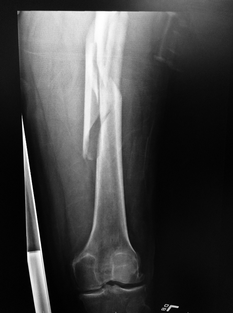
I planned a ski cut, which would lead me to a safe location, with the rest of the group in a safe area. However, halfway across the slope, I skied into some softer snow and struck a rock, which momentarily put me off balance. Before I knew it, I was headed downhill in a fast-moving stiff slab. I veered off to the right, watching my tips reach solid snow, but within a few seconds, the tails of my skis were grabbed by the rushing torrent and I was turned 360 degrees in the air. During these brief seconds, I felt my left femur spiral and fracture.
Both skis came off, and I got rid of my poles. Suddenly, I was sitting on the side of the avalanche, facing downhill and proceeding at a fairly fast speed. I uttered a few words of profanity and tried some backstrokes, but quickly realized that relaxing and going with the flow would be my only chance of not hurting myself further and getting buried.
Throughout it all, there was very little time to think about anything other than, “How am I going to survive this?” The idea of dying in this avalanche simply didn’t cross my mind. After what seemed like an eternity, I finally came to rest about 200 or 250 meters from where I had started. A few chunks of the debris went over my head, but I had been lucky to stop on a debris-created bench, with my left femur partially buried in a rather uncomfortable position.
I radioed to my companions, assuring them that I was not buried but that I did have a fractured femur. Next, I removed my pack, dug out my leg, and placed it gently on the backpack. The adrenaline was still rushing through my body; I felt very little pain as I tried to adjust my leg into a more comfortable position. The thought that I would see my family and friends was comforting, but first, I needed to deal with my femur.
Before long, the helicopter landed beside me, and the crew quickly got to work, pulling out a stretcher and a trauma kit. I was now in evacuation mode, directing a self-rescue with several members of the group. My plan was to head to the Whistler Clinic as quickly as possible to get some much-needed narcotics before my femur started to spasm. The group tied my legs together and secured me to the Robertson stretcher, and we managed a quick load-and-go. I was at the clinic within just 40 minutes, in the company of staff I have known for many years.
By the time they got to my ski boots, I was already off in La La Land. I slept the entire ambulance ride down to Vancouver General Hospital and was in the operating room that very evening. Despite the avalanche cutting off my years of good luck, I had one remaining bit of good fortune: I was operated on by Dr. Blachut, a true craftsman in the orthopedic field. My stay in the orthopedic ward lasted for two days. The entire time, getting out and going home was my top priority: you can get sick in hospitals!
So far, my recovery seems to be going well. I would like to thank those at the scene for their help, the staff at the Whistler Medical Clinic for their care, the ambulance crews for their great work, the Orthopedic Department at Vancouver General for a new titanium femur, and my partner Suze for her care and nursing of a spoiled patient.
I am staying very optimistic and trying to maintain a positive attitude. My plan is to be back doing some easy turns by the end of March. Only time will tell, but it’s good to have some goals.
December 29, 2014 was a bad day as a far as avalanche occurrences in the Sea to Sky corridor. There were three other reported events occurring the same day: one where a snowmobiler deployed his airbag, which likely saved his life; another experienced guide was caught and deployed his air bag with no consequence; and a third where a ski tourer cut off a small stiff slab but, luckily, did not get caught in the avalanche.
Avalanches happen. I may take an even more conservative approach the next time I ski cut a stiff wind slab, but I will certainly be back in the mountains skiing powder and doing what I am most passionate about!
Wayne Flann is an avid skier, father and blogger based out of Whistler, BC. Check out his blog here.










Comments